2021年6月9日,江苏省人民医院孔祥清教授团队成功完成TaurusOne®经导管主动脉瓣系统上市后华东地区的首次植入。为一例Type1型二叶式主动脉瓣重度狭窄患者带来新生。
手术团队合影
患者基本信息:
术前评估:
左右冠高度可,冠脉存在明显钙化,左冠瓣长度小于冠脉开口与瓣叶附着缘距离,潜在冠脉阻挡风险较低。
瓦氏窦、窦管交界、升主动脉内径可。主动脉瓣环与水平面夹角可,主动脉弓角度与宽度可。
双侧血管内径可,符合血管入路条件。
主动脉根部评估:
瓣环平面及瓦式窦平面解剖及冠脉风险评估
外周血管及主动脉弓解剖:
术前评估与手术策略讨论:
该患者主动脉瓣重度钙化,钙化分布集中在瓣环上平面6mm位置上下,钙化嵴较坚硬,存在瓣周漏及瓣膜移位风险,给手术操作造成了一定程度的挑战。需要术中通过球囊预扩观察确认进一步手术策略,若球囊预扩钙化嵴被明显推开,则选瓣尺寸需做增加,并采用偏零位的释放策略。反之,则进行downsize选择,在标准位进行瓣膜释放。根据术前CT预判,跨瓣和球囊预扩角度为LAO 30°,CRA 20°左右(右无窦重合体位),推荐释放角度则为RAO 8°,CAU 28°(左右窦重合体位)。采用右侧股动脉为主入路,左侧为辅入路,使用20mm球囊预扩,并预装载TaurusOne®AV26瓣膜。
手术过程概览:
主动脉根部造影显示瓣上重度环状钙化轻中度反流,冠脉灌注良好
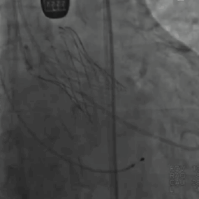
20mm球囊预扩,右无融合处钙化嵴被推开,造影显示无腰征微量造影剂渗漏
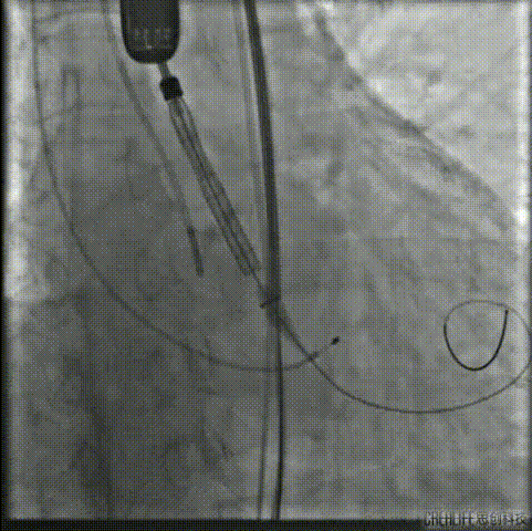
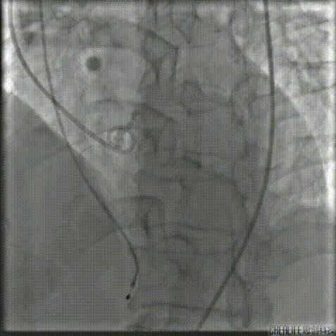
TaurusOne®释放过程:
瓣膜定位
术后即刻评估:
术后压差从52mmHg降至12mmHg
超声显示瓣膜位置及开闭形态良好。长轴及短轴多普勒结果显示均无瓣周漏,血流动力学优异
孔祥清教授寄语:

此例手术是一例非常典型的Type1型AS病例,通过术前专业评估和术中精准操作,手术取得圆满成功,效果令人满意。江苏省人民医院心血管内科敢闯“禁区”并勇攀高峰,一直位于国内心血管临床创新领域的第一方阵。随着金牛瓣的上市和植入,希望和以沛嘉公司为代表的更多民族企业展开紧密合作,继续做好医学创新与医工结合,推动中国结构性心脏病介入治疗的蓬勃发展,造福广大结构性心脏病患者。