2021年6月5日,新疆维吾尔自治区人民医院杨毅宁教授团队成功完成了西北首次TaurusOne®经导管主动脉瓣膜系统植入,当日手术在华西医院陈茂、冯沅两位专家的专程指导和见证下,成功为两位患者进行了经导管主动脉瓣置换,其中一例为PCI+冠脉保护下TAVR的高难度病例,另一例为典型Type1二叶瓣病例,两例患者植入后瓣膜工作稳定,未出现冠脉阻挡,仅一例微量瓣周漏,两例患者血流动力学均得到有效改善,将为患者带来更长的生存期获益!
Case1术前评估
患者70岁,男性,主因“活动后心慌、胸闷、憋气6个月,加重1周”入院。重度主动脉瓣狭窄(并关闭不全)、三尖瓣关闭不全、冠状动脉粥样硬化性心脏病、心功能II级(NYHA分级)。术前超声LADD 45mm,LVEDD 52mm,LVESD 32mm,LVEF 67%,AVA 0.9cm²,Vmax5.04m/s,PGmax101mmHg,PGmean64mmHg。
根部评估
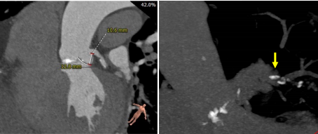
Type1型二叶式主动脉瓣,L-N融合,主动脉瓣环周长83.8mm,平均周长径26.8mm。瓦式窦可。左冠开口高度16.3mm,右冠开口高度25.6mm。
弓部及入路评估
主动脉弓部夹角略锐,角度84度,最短距离70.3mm,必要时可采取Snare辅助过弓;外周入路血管条件良好,无钙化,未发现其他血管病变,双侧入路血管管径可。
术前讨论
新疆自治区人民医院杨毅宁教授团队在手术前对患者进行整体评估讨论,考虑患者重度狭窄合并中度返流,解剖分型为Type1型二叶瓣,中度钙化。根据冠脉高度、瓣叶长度、瓦氏窦宽度分析冠脉风险较低,但BAV和瓣叶钙化易导致植入假体瓣膜形变、根部损伤及瓣周漏风险,因此手术需加以注意。
经充分讨论评估后决定,采用右侧股动脉为主入路,左侧辅助入路,二叶瓣跨瓣、球扩、释放工作体位选择双窦展开的最大角度RAO 13° CAU8°。22mm球囊预扩,预装AV26瓣膜,密切观察钙化及融合嵴推移情况。考虑二叶瓣和钙化对假体形态的影像,释放后双定位观察进一步确定人工瓣膜形态。
主动脉根部造影
瓣膜稳定释放后支架受到钙化挤压

22mm球囊后扩后支架形态改善
植入前后跨瓣压差
植入前压差63mmHg,植入后压差2mmHg
Case2术前评估
患者72岁,女性,主因“活动后心前区疼痛1年,加重10天”入院。重度主动脉瓣狭窄、心脏瓣膜病、冠状动脉粥样硬化性心脏病、心功能II级(NYHA分级)。术前超声:LADD 42mm,LVEDD 42mm,LVESD 26mm,LVEF 60%,AVA 0.5cm², Vmax467cm/s,PGmax 87mmHg,PGmean58mmHg。
三叶式主动脉瓣,瓣环周长73.6mm,平均径22.5mm;瓦氏窦可;左冠开口高度11.3mm,右冠开口高度19.0mm。
弓部及入路评估
弓部角度及距离适宜,双侧入路走形略迂曲,内径适宜,少量钙化。
手术评估
杨毅宁教授团队术前讨论,考虑患者三叶式主动脉瓣,中度钙化,且钙化分布不均匀主要分布于无冠窦,瓣膜植入过程中对假造成体挤压形变,需关注瓣周漏风险。患者左冠高都略低,测量发现瓣叶长度接近-超过左冠开口,可能形成冠脉阻挡风险。
术中影像

主动脉根部造影和冠脉造影+PCI

瓣膜稳定释放和瓣膜释放后左冠显影正常
植入前后跨瓣压差
植入前压差67mmHg,植入后压差2mmHg
术者团队寄语
杨毅宁院长
李国庆主任
此次在我院进行的经导管主动脉瓣置换的两例患者,一例为冠脉狭窄+主动脉瓣狭窄复杂病例,一例为我国AS患者中比例较高的BAV典型病例。两例植入均获成功,效果令人满意,在此特别感谢华西陈茂主任、冯沅主任两位专家的专程带教指导。现今是介入结构心脏病领域迅猛发展的时期,TAVR手术技术的成熟将为更多主动脉瓣狭窄患者带来希望,我们也期待更多民族企业为我国结构心事业的发展带来新的助力。
专家简介
新疆维吾尔自治区人民医院院长,心血管内科专家。擅长冠心病、先天性心脏病及瓣膜病的介入治疗及相关基础研究。2004年和2007年分别于新加坡国立大学医院导管室和德国Mainz Johannes Gutenberg大学临床医院心内科研修冠状动脉介入治疗。在临床工作中不断开拓创新,在疑难危重症治疗方面,成功开展和推广IVUS、OCT、远隔缺血适应治疗、TAVR、ECMO等新技术。2017年入选“国家百千万人才工程”并被授予“有突出贡献中青年专家”荣誉称号,第十二届“中国医师奖”获得者,先后入选教育部新世纪优秀人才计划,自治区“天山雪松计划”科技创新领军人才后备,“ 天山英才”培养计划第一层次。2017年入选新疆自然科学专家库。主持国家重点研发计划1项,国家自然科学基金6项,教育部新世纪优秀人才计划项目1项等20余项研究。以第一作者或通讯作者身份发表学术论文250余篇,其中SCI收录论文60余篇。荣获自治区科技进步奖10项,其中一等奖4项、二等奖6项,荣获中华医学科技奖2项,2020年被评为自治区“ 最美科技工作者”。
新疆维吾尔自治区人民医院心内科主任,主任医师,教授;石河子大学与新疆医科大学硕/博士研究生导师;现任中华医学会心血管病学分会委员会委员;中华医学会心血管病分会第十一届委员会心血管急重症学组副组长;海峡两岸医药卫生交流协会委员会常务委员;中国医师协会心血管内科医师分会委员会委员哈斯克斯坦国家科学中心心血管病特聘专家;中国医师协会委员会委员;新疆胸痛联盟副主任委员;新疆绿色电生理联盟委员会名誉主任委员;自治区科技进步奖7项;承担自治区自然科学基金项目2项;院内自然科学基金项目1项,获发明专利2项;荣获“全国省级综合性医院优秀医生”称号。