鼓浪踏歌,醉美厦门。2021年05月31日,厦门大学附属心血管病医院王焱教授团队成功完成由沛嘉医疗科技(苏州)有限公司自主研发的TaurusOne®经导管主动脉瓣系统上市后的全国首次植入,并在首日救治两位危重患者。
Case1术前评估
患者为73岁女性,反复活动后胸闷气促5年,多次因心衰入院,此次心衰再发加重转诊我院,入院诊断:心脏瓣膜病 主动脉瓣中度狭窄合并重度关闭不全,双侧胸腔积液,NYHA心功能评估III-IV级,同时合并冠状动脉粥样硬化心脏病,高血压3级(高危),系统性红斑狼疮。
主动脉根部解剖
三叶式主动脉瓣,轻度钙化,钙化分布均匀,多位于瓣叶附着缘处血管内壁。主动脉瓣瓣环周长80.9mm,平均周长径25.7mm。瓦氏窦内径可。
左冠开口高度17.9mm,右冠高度19.5mm,冠状动脉散在钙化。
瓣环上及主动脉解剖
血管入路解剖
外周入路血管散在钙化,双侧髂外动脉管径处于临界范围
评估与讨论
厦门大学附属心血管病医院王焱院长团队对该病例进行了专题探讨,该患者低钙化,以反流为主,双侧髂外动脉管径处于临界范围,二尖瓣前瓣钙化有造成轻度的瓣周漏可能,这些因素为此次手术带来了一定挑战。
经过团队严谨的评估及充分的讨论,使用右侧股动脉为主入路,左侧辅助入路。推荐跨瓣角度为LAO21°,CAU5左右。瓣叶略有增厚,未见明显融合嵴,预估无需球囊扩张。预装载TaurusOne®AV29瓣膜。推荐释放角度LAO 21°,CAU 8°(右窦中心位),植入深度标准位(瓣环下2-4mm)。
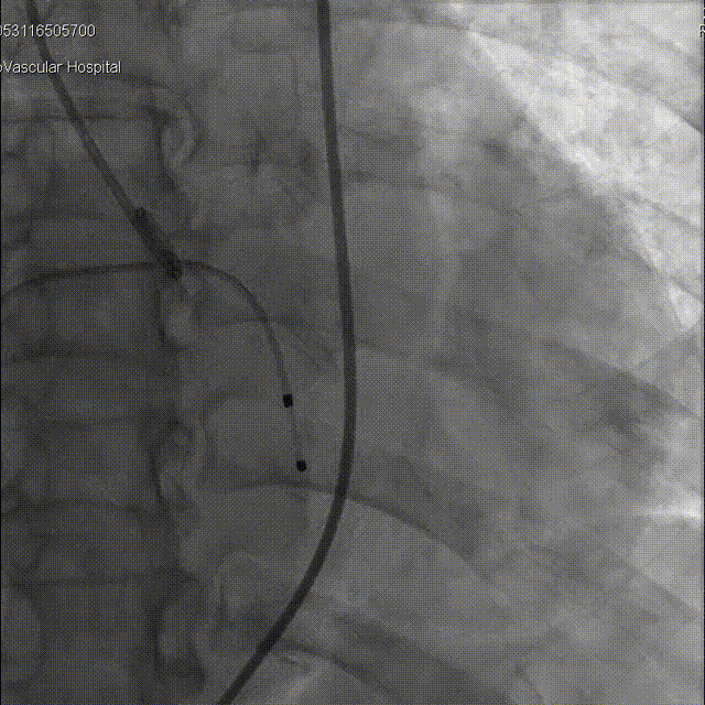
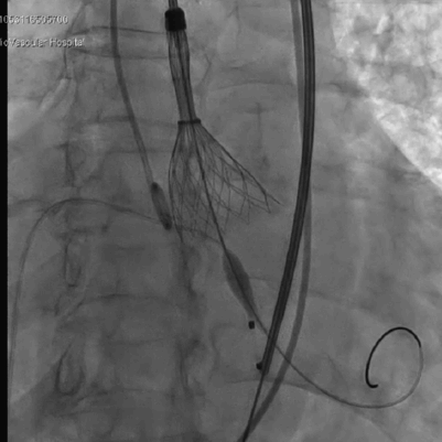
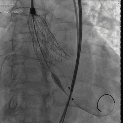
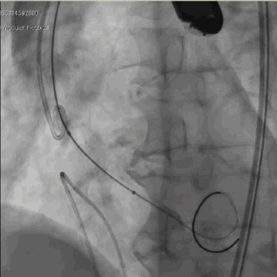
手术过程

主动脉根部造影,冠脉显影良好


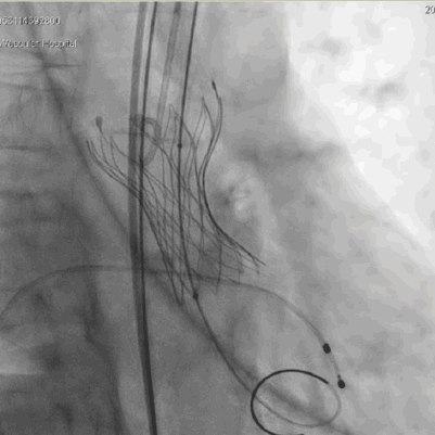
右窦中心位 标准位释放瓣膜

人工瓣膜位置、形态良好,无反流
术中,先对人工瓣膜进行定位,到达预期位置后精准释放,手术结果令人满意。
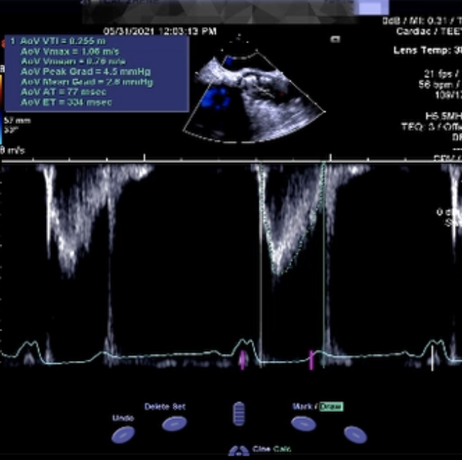
术前术后超声对比
术后超声评估影像,平均压差2.8mmHg,最大流速1m/s,无反流
Case2术前评估
患者为67岁男性,反复晕厥两年,此次入院前2小时晕厥再发入院,入院诊断为:重度主动脉瓣狭窄合并轻度关闭不全,轻度二尖瓣反流,冠状动脉非梗阻性心肌梗死。
主动脉根部解剖
Type 1型二叶式主动脉瓣,瓣叶严重增厚,左右冠窦融合并形成钙化嵴,中度钙化,钙 化分布不均匀,最严重处为左右瓣叶融合嵴。主动脉瓣瓣环周长76.8mm,平均周长径24.3mm。
瓣环上钙化分布及主动脉解剖

血管入路解剖
评估与讨论
该患者瓣叶中度钙化,左右瓣叶钙化融合嵴较为坚硬,球囊打开难度较高,预估存在植入假体瓣膜形变、根部损伤风险,钙化融合嵴增加瓣周漏风险。同时瓣叶严重纤维增厚,存在人工瓣膜向下位移,有瓣中瓣治疗可能。冠脉高度可,根据瓣叶长度、瓦氏窦宽度预估右冠风险较小,左冠存在一定堵塞风险。
经过团队严谨的评估及充分的讨论,使用右侧股动脉为主入路,左侧辅助入路。预估跨瓣角度为LAO 6°,CRA 5°左右。20mm球囊预扩张。预装载TaurusOne®AV26瓣膜。推荐释放角度LAO 20°,CAU 15°(右窦中心位),偏高位释放(瓣环下0-2mm)。
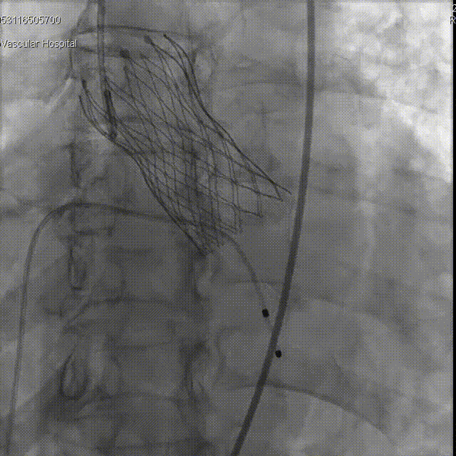
手术过程


主动脉根部造影,冠脉显影良好, 左冠切线位 20mm球囊预扩


“慢-快-慢”步骤释放瓣膜,20mm球囊后扩 瓣膜形态进一步优化
术后评估

球囊后扩后瓣膜形态良好
术前导管测量压差120mmHg;术后导管测量压差8mmHg
TaurusOne®经导管主动脉瓣系统简介
TaurusOne®由主动脉瓣、输送器及压握装载系统组成。其主动脉瓣瓣叶采用牛心包组织,并进行专有的抗钙化技术处理;支架流入端采用增强径向支撑力设计,以应对中国患者高钙化及二叶瓣比例高的特点;平衡的收腰设计,在避免阻挡冠脉的同时保持较大的瓣口面积。流入端的内外双层裙边可以有效避免或减少瓣周漏。输送器采用人体工程学大手柄设计,为术者精准操作带来良好体验;导管部分最大外径为18Fr,采用分段式设计,使其具有良好的通过性、推送性及柔顺性。同时,沛嘉医疗还提供TAVR手术保险方案,充分体现了沛嘉以敬畏之心,呵护生命的理念。
王焱院长寄语
这两例手术一例是严重反流,一例是钙化脊的二叶瓣,金牛瓣均成功植入并取得预期效果,这源自于专家团队精心的术前评估准备和专业的技术保障,也体现了金牛瓣优异的过弓性能和径向支撑力。
我们很欣慰沛嘉医疗瓣膜系统在自主创新研发的道路保持前沿的视角,追求卓越技术。期待TaurusOne®的成功上市,进一步推动我国TAVR技术的发展,给更多主动脉瓣病变患者带来福音。
专家简介
王焱
厦门大学附属心血管病医院
厦门大学附属心血管病医院院长;香港大学医学博士、教授、主任医师、博士生导师;美国心脏病学院会员(FACC);欧洲心脏病学会会员(FESC);国际心血管介入学会会员(FSCAI);中华医学会心血管分会委员;中国胸痛中心认证委员会副主任委员;中华医学会心血管病学分会介入心脏病学组副组长、海峡两岸医学卫生交流协会心血管病分会候任主任委员,国家卫生健康突出贡献中青年专家,具有丰富的临床工作经验,从事心血管系统疾病的诊治,在冠状动脉、外周血管疾病及心脏瓣膜疾病诊治方面有很高造诣。
王斌
厦门大学附属心血管病医院
医学博士,主任医师,厦门大学副教授,硕士研究生导师;中国胸痛中心区域认证中心(厦门)分中心办公室主任;厦门大学附属心血管病医院急诊科主任,胸痛中心主任;中华医学会心血管病分会结构组委员;中国人体健康科技促进会结构心脏病专业委员会委员;中国胸痛中心认证专家;中国医师协会心力衰竭分会青年委员;中国医促会血管高血压分会委员;福建省医学会心血管病分会青年委员;中国医促会心血管疾病预防与治疗分会青委;海峡两岸医药卫生交流协会心血管病分会委员;亚洲青年结构俱乐部黄金会员;澳大利亚The Prince Charles Hospital (TPCH)学习 ;厦门市第九批拔尖人才,厦门市第四批青年创新人才;从事心血管内科临床、冠脉、结构性心脏病介入及胸痛中心建设、维护及认证工作。