2021年5月29日,复旦大学附属中山医院葛均波院士、周达新教授团队成功为一位84岁高龄的重度三尖瓣返流患者植入一枚汇禾医疗K-Clip™ 三尖瓣环修复装置,完美演示了经血管三尖瓣环修复术的直播首秀!
东方云起,惊艳四座
▼▼▼
回顾:2021年4月21日,在复旦大学附属中山医院,葛均波院士和周达新教授团队,使用与汇禾医疗共同开发的K-Clip™ ,完了我国第一例经血管三尖瓣修复手术。
患者三尖瓣返流即刻从术前极重度降到2级,术后恢复良好,随访一月心衰症状明显改善。随着注册临床的启动,后续入组的患者均手术顺利。
本次直播病例患者的病史和术前情况较前几例更为复杂,这不仅体现了葛均波院士、周达新教授团队对K-Clip™ 的信任,夹合后即刻明显下降的返流等级也证明了复旦大学附属中山医院在介入瓣膜领域再创新高的实力和决心。
患者基本情况
患者,男,84岁。
房颤、冠心病16年余,活动后气促加重伴下肢水肿1月,难以进食。
入院诊断为:重度三尖瓣关闭不全,房颤,冠心病,高血压,心功能III级(慢性心功能不全),慢性肾功能不全,贫血,右冠脉狭窄。EuroScoreII评分5.38%(高危)。心衰指数BNP2635pg/ml。
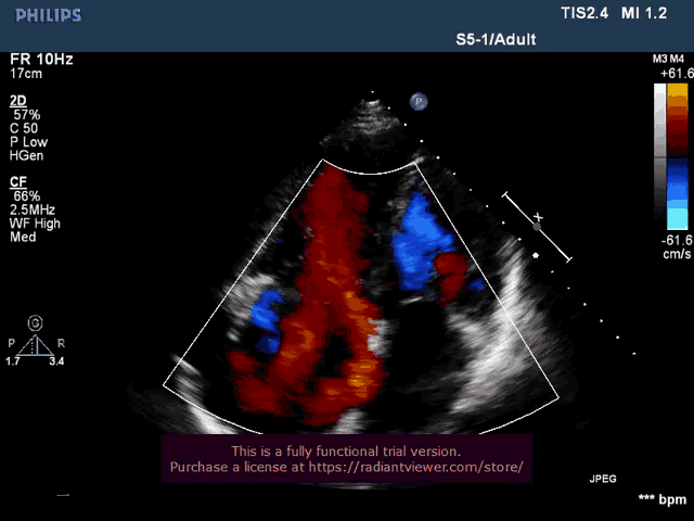
术前心超提示
1. 右房内径增大(上下径x左右径为70x65mm),三尖瓣环值径45x47mm;
2.三尖瓣不增厚,彩色多普勒示重度三尖瓣返流(VCW:10.7x8.1mm);
3.下腔静脉内径增宽为26mm,上腔静脉内径23mm。
经过术前讨论,患者重度三尖瓣反流,合并冠心病,基础情况差,外科风险高,适合经颈静脉行三尖瓣环修复术,确定工作目标位置为三尖瓣环后瓣, 产品规格K-Clip™ 16T。
现场直击
手术过程
Step1:行颈静脉穿刺后,在DSA+超声引导下入外鞘(建立通路)后,入内鞘(夹合系统);
Step3:张开夹合件,折叠三尖瓣环组织,进行夹合;
术后为轻度三尖瓣反流

术后心超:K-Clip™术后改变,三尖瓣瓣环平面于前后交界处示夹合器回声,瓣叶开放不受限,彩色多普勒示轻度三尖瓣返流(VCW:6.1x3.0mm),连续多普勒估测三尖瓣平均跨瓣压差1mmHg。
术后冠脉通畅、心电图和生命体征均平稳。
东方云起,惊艳四座
▼▼▼
“这是一个全新的术式,代表着中国结构性心脏病领域的原创力量,欢迎同道一起,多多探索”。
本次直播术者复旦大学附属中山医院周达新教授在接受采访时这样说道。经验和信心的积累在临床上总是相辅相成,术式探索带来的启发和K-Clip™ 易操作性和可重复性都极大的鼓舞了术者们的信心。从数例重度返流患者的不同基础疾病来看,术后明显改善的返流情况已经初步验证了K-Clip™的普遍适用性。
期待随着临床入组的稳步推进,期待K-Clip™ 能为更多三尖瓣重度返流或外科手术高风险的衰弱患者带来福音。
关于汇禾医疗
汇禾医疗创始于2019年,是一家具有自主创新能力的高科技企业,专注于心血管植入类器械的研发生产,拥有专利共计100余项,并有3项PCT和1项美国专利,所有技术均来自团队成员。汇禾医疗出品的K-Clip™三尖瓣环修复系统,目前已正式进入注册临床实验。