2021年5月17-22日,2021年西子心血管联席会议圆满完成各项学术日程,于杭州西子湖畔正式落下帷幕。为期一周的学术会议吸引了来自浙江省以及全国各地众多心脏病知名专家的踊跃参与,与会嘉宾们围绕当下心血管领域前沿学术动态、研究热点和最新进展,理论结合实践,汇智凝心展开深度交流和讨论,倾情奉献了一场涵盖手术示教、专家讲座、热点讨论为一体的学术盛宴。
5月21日,会议手术示教环节,浙江大学医学院附属邵逸夫医院傅国胜教授带领医院TAVR团队凭借扎实的手术功底及参与手术各科室成员的密切配合下成功完成2例复杂TAVR手术,2台手术术后效果良好,基本无压差,无明显反流,手术均取得预期效果。
TAVR手术1:Snare技术有力加持,谋定后动挑战极重度狭窄
▼▼▼
患者基本情况
患者为69岁老年女性,营养状况良好(BMI22.2)。因活动时胸闷气急半年余之主诉入院。该患者伴有冠状动脉粥样硬化和频发房性早搏。STS评分2.9%,属于外科手术低危患者。
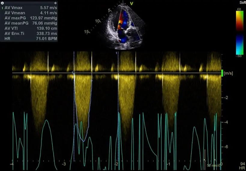
动态心电图示频发房性早搏伴短阵房速。肺功能检查提示轻度阻塞性通气功能障碍。头颅MRI未见明显脑梗征象。入院后食道超声提示该患者为主动脉瓣二瓣化畸形、重度狭窄伴轻度关闭不全。峰值流速5.57m/s,最大跨瓣压差124mmHg,平均跨瓣压差76mmHg,瓣口面积为0.41cm2。
同时患者左室增大,伴有轻度二、三尖瓣反流,EF为 61.8%。左室长轴整体应变率为-15.4%,提示左室处于早期功能减退状态。右心收缩功能正常,肺动脉收缩压44mmHg。
多普勒超声显示其流速和压差达重度狭窄
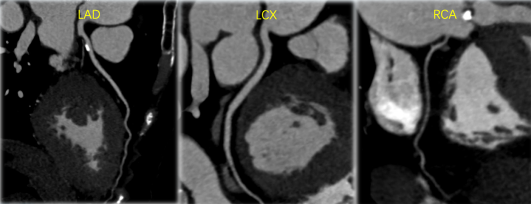
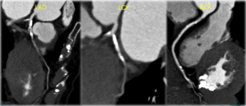
CT冠脉评估患者三支主干未见严重狭窄。前降支近段存在一30%狭窄的钙化斑块,右冠细小,为左优势型冠脉。
该名患者为Type 0型二叶瓣,右冠窦轻度钙化。瓣环最短径为20.0mm,最长径为27.7mm,平均瓣环直径为23.8mm。升主动脉较宽,平均直径40.5mm。左冠开口高度13.6mm,右冠开口高度16.3mm,冠脉阻塞风险低。外周血管钙化轻,入路情况较佳。FEops分析推荐匹配26mm瓣膜。
瓣环
左室流出道
主动脉窦
窦管交界部
升主动脉
冠脉开口高度大于13mm,未有瓣叶遮挡征象
CT测算的造影和释放体位
外周血管入路
FEops软件分析
手术策略
结合该患者的超声和CT分析,傅国胜教授团队认为双侧股动脉直径可,遂按照常规手术入路方案,选择患者右侧股动脉作为主要入路;考虑到患者为Type 0二叶瓣,右冠瓣轻中度钙化,冠脉开口高度可,开口处未见瓣叶,手术团队选择预先采用20mm球囊充分扩张后,再准备植入一枚26号Venus A瓣膜。
手术过程
顺利跨瓣后,选取20mm球囊180bpm频率下快速起搏预扩。显示无漏,左右冠血流未受影响,考虑按照既定策略,选择Venus A 26型号瓣膜植入。

预扩
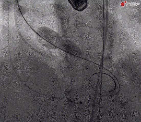
由于该患者轻度横位心,且为前后位二叶瓣,输送系统跨瓣存在一定困难,与会专家和术者一致考虑使用Snare技术。在右冠窦猪尾的指示和圈套器的辅助下,瓣膜输送系统输送至窦底,开始释放。在确认位置后,术者保持当前张力,快速一次性释放。

释放
术后心电监护未见传导阻滞。术后超声显示右冠和无冠交界处少量瓣周漏,人工瓣膜工作良好,瓣叶启闭正常,主动脉瓣峰值流速2.36m/s,平均跨瓣压差较术前显著下降为14.3mmHg,手术圆满完成。
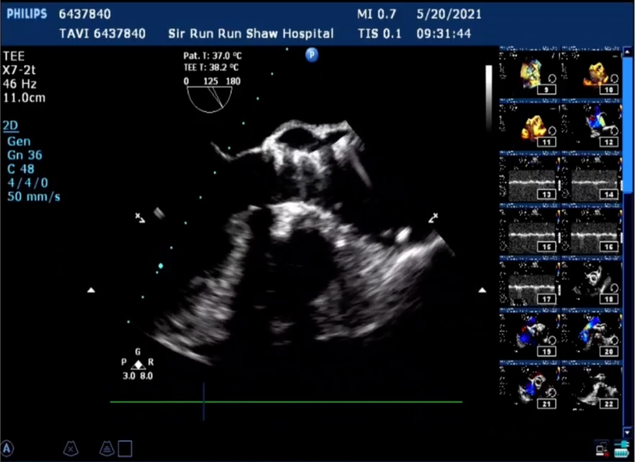
经食道左室长轴切面显示瓣架高度处0位
病例复盘
福建省立医院郭延松教授随后补充说到,预扩时球囊的选择应在减少并发症和测径评估上取得平衡。此外,可回收系统一般较硬,特别在横位心患者中,过弓和跨瓣困难,及时采用Snare技术可事半功倍。
TAVR手术2:对症施治完善手术策略,循序渐进攻克顽疾
▼▼▼
患者基本情况
患者同时伴有二尖瓣退行性改变伴中度反流,左室肥厚,心腔较小(舒张末期室间隔厚度17.3mm,左心室舒张末期内径 36.3mm), EF为 63.6%。左室长轴整体应变率为-6.5%,提示其左室功能严重减退,同时伴有右房增大,右室收缩功能减低。
多普勒超声显示其流速和压差达重度狭窄
CT冠脉评估显示其前降支和回旋支重度狭窄;进一步造影评估后,于前降支近中段植入 3.0*30mm Resolute 支架。
CT冠脉评估

造影证实前降支和回旋支重度狭窄
该名患者为三叶瓣,右冠窦轻度钙化。瓣环直径为23.2mm,周长为72.9mm。左冠窦中重度钙化。升主动脉稍增宽,平均直径34.0mm。左冠开口高度13.3mm,右冠开口高度15.1mm,冠脉风险低。外周血管钙化轻,入路情况较佳。
瓣环
左室流出道
主动脉窦
窦管交界部
升主动脉
冠脉开口
外周血管入路轻微扭曲,直径合适
手术策略
结合该患者的超声和CT分析,双侧股动脉直径可,手术团队选择右侧股动脉作为主要入路;同时考虑到患者为三叶瓣,左冠瓣叶钙化明显,冠脉开口高度可,开口处未见瓣叶。傅国胜教授团队也决定先采用22mm球囊预扩,而后植入一枚VitaFlow TAV 24型号瓣膜。
手术过程
顺利跨瓣后,选取22mm球囊快速起搏预扩。腰征不明显,轻微反流,考虑按照既定策略植入VitaFlow TAV 24型号瓣膜。

预扩
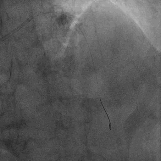
在无冠窦猪尾导管的指示下,将装载瓣膜的输送系统送至窦底。
随即在120bpm起搏频率下快速一次性释放;基本上处于0位释放。

释放
术后心电监护未见传导阻滞。即刻造影显示微量瓣周漏,食道超声显示瓣架0位,轻度瓣周漏,人工瓣叶启闭正常,主动脉瓣峰值流速1.82m/s,平均跨瓣压差降至7.17mmHg,二尖瓣反流未明显增加,手术圆满完成。
病例复盘
冠状动脉病变合并主动脉瓣狭窄患者属于高龄TAVR手术中常见病例,术后抗栓治疗方案一直是临床讨论热点。傅国胜教授则于手术结束后即刻分享了抗栓方案。他指出,考虑到患者的卒中风险,倾向使用氯吡格雷+利伐沙班的抗栓策略。
刘长福教授认为,此次手术病例为高龄患者,合并有房颤,且为冠状动脉支架植入术后,术前常规服用华法林。按照指南推荐,术后1个月建议服用双联抗血小板治疗+华法林,但考虑该患者高龄且BMI低,单抗+华法林也是可以接受的。
随着人口老龄化日益严重,主动脉瓣狭窄及其他瓣膜病患病人数逐年递增。“经皮瓣膜置换术(TAVR)”等新型微创介入技术的问世,则为不适宜外科手术的高危患者带来治疗新选择。此次浙江大学医学院附属邵逸夫医院傅国胜教授团队2台TAVR手术的成功直播,彰显了傅国胜教授团队在TAVR技术领域丰厚的手术实力的同时,也为2021西子心血管联席会议手术直播环节增添了一抹亮丽色彩,为广大观看线上直播的青年及基层术者提供手术指引,也为越来越多的心脏瓣膜病患者带来更少创伤、更优疗效的个性化治疗。