【梅医心说】粤东首例:梅州市人民医院完成ECMO支持下的经颈动脉TAVR+PCI一站式手术

2022年10月3日梅州市人民医院院长、心血管病中心主任钟志雄教授带领心脏瓣膜病中心钟炜教授团队、心脏重症监护科蓝新平教授团队及心外科刘治元教授团队,在ECMO支持下采用一站式经颈动脉TAVR+PCI术,成功救治1名81岁患重度主动脉瓣狭窄、冠脉双支血管重度狭窄合并低EF值心尖薄的重度心衰患者,使患者重获新生。

患者基本信息

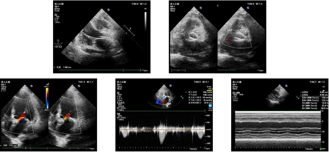
该患者为老年男性,半年余前活动后出现胸闷,呈压塞感,伴气促,多次外院治疗效果欠佳。入院前3天上述症状加重,端坐呼吸,不能行走,急诊拟“心力衰竭”收入住院。完善术前心脏彩超提示LVEF28%,主动脉瓣重度狭窄(瓣口面积0.42cm²,Vmax:359cm/s,MG:28mmHg)及轻度关闭不全,二尖瓣中-重度关闭不全,三尖瓣轻度关闭不全,肺动脉高压轻度。

诊断为:1.冠心病 急性非ST段抬高型心肌梗死 泵功能Ⅱ级 ;2.心脏瓣膜病 主动脉瓣狭窄(重度);3.急性心力衰竭;4.慢性肾功能不全;5.低蛋白血症;6.2型糖尿病。

术前心超

CT分析

主动脉根部解剖及入路分析

MDT讨论结果

术前钟志雄教授组织多学科会诊,认为患者心衰由严重心脏瓣膜及冠脉疾病引起,符合TAVR+PCI一站式手术指征;同时,患者主动脉瓣狭窄属于低压差低流速这种高危类型,且心功能低,极易出现术中循环奔溃的风险,在ECMO支持下行TAVR+PCI一站式手术是更优更安全的方案;由于股动脉入路至主动脉弓存在弥漫性钙化,斑块脱落及血管夹层风险高,综合考虑采用右颈动脉入路作为主入路。

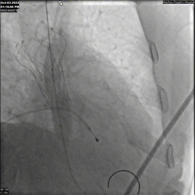
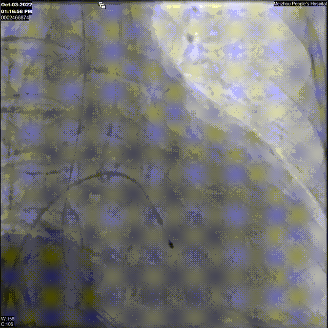
手术过程

1、左/右冠脉PCI术前影像

2、左/右冠脉PCI术后影像

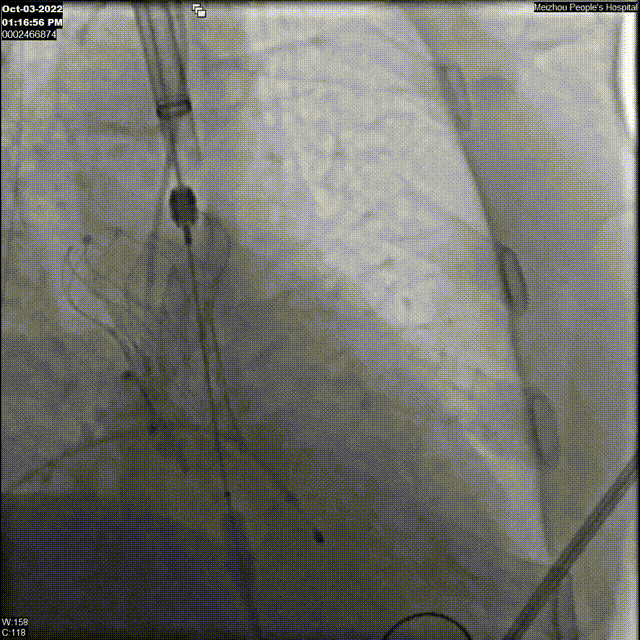
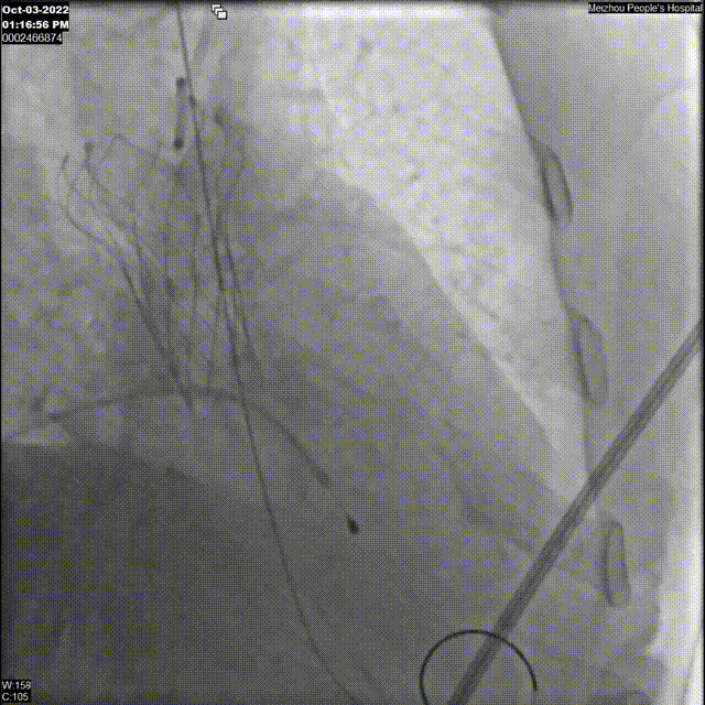
3、主动脉根部影像

主动脉根部造影

18F球囊预扩张影像

瓣膜植入影像

   18F球囊后扩影像

  瓣膜最终植入结果


术中超声

出院前超声

术后总结

该患者术中球囊扩张后,出现室性逸搏、血压低等危急情况,关键时刻,ECMO发挥了重要作用,最后,手术效果满意,在ECMO支持下顺利完成TAVR+ PCI一站式手术,患者术后6小时撤离ECMO,12小时后苏醒,生命体征平稳,各项指标恢复良好,一周后出院。本例患者病情严重复杂,冠脉严重病变、主动脉瓣严重狭窄且合并低压差低流速,但钟志雄院长带领团队术前制定符合该患者病情的个性化诊疗方案,术中协同努力,手术顺利完成,患者转危为安,临床症状明显改善,相信未来会有更好的生活质量提升!

专家简介

钟志雄

梅州市人民医院

梅州市人民医院院长、心血管病中心主任、心血管病研究所所长、主任医师、博士生导师、硕士生导师、享受国务院特殊津贴专家、广东省医学领军人才、梅州市专业技术拔尖人才。梅州市心血管病介入诊断和治疗创始人,国家临床重点专科建设项目--梅州市人民医院心血管内科的奠基人、领路人,在医疗、教学、科研方面取得突出成就,获得全国先进工作者、全国卫生计生系统先进工作者、广东医师奖、广东医院优秀院长等荣誉。

技术专长:擅长冠心病、大血管、结构性心脏病、心脏起搏的介入诊疗以及心脏重症的抢救治疗。

出诊时间:

周一至周六(特需门诊)

钟炜

梅州市人民医院

科教科科长、技能培训中心主任、心脏瓣膜病中心主任、硕士研究生导师、国家冠心病介入培训导师

技术专长:擅长冠心病、结构性心脏病(先心病和瓣膜病)的介入诊疗以及心脏重症的抢救治疗。

出诊时间:

周一上午(普通门诊)

周五上午(特需门诊)

蓝新平

梅州市人民医院

心脏重症监护科副主任,擅长心脏重症的早期识别及救治和高危-复杂冠状动脉介入治疗,熟练掌握体外膜肺氧合(ECMO)的管理、床旁主动脉球囊反搏仪(IABP)置入、床旁临时起搏器置入、 连续性血液净化(CRRT)、血浆置换(人工肝)及重症超声等心脏重症抢救技术。

出诊时间:周一上午、周三上午(普通门诊)  周二上午(特需门诊)

刘治元

梅州市人民医院

主任医师,心脏血管外科副主任,广东省医师协会心外科医师分会第三届委员,广东省医学会小儿外科学分会委员会心胸外科学组成员,广东省临床医学学会血管外科专业委员会第一届委员,广东省基层医药学会血管外科专业委员会副主任委员,广东省医师协会血管病医师分会第一届常务委员,广东省医学会血管外科分会第三届委员,广东省医院协会心脏血管微创外科管理专业委员会常务委员。

出诊时间:周二全天(普通门诊)

阅读数: 3498